この場合、いわゆる 1 ピース型インプラントが使用できます。この方法ではすべてのコンポーネントを単一ユニットとして取り付けるため、新しい歯の装着がインプラントを埋入した日に行えます。治療時間の短縮、および痛みの軽減すべてがもたらされます。
 |
|
レントゲン検査などを行い治療計画を立てていきます。 |
|
 |
|
インプラントを埋入し、仮歯を装着した後、骨に結合するのを数ヶ月待ちます。 |
|
 |
|
セラミックのクラウンを装着して完了。新しい歯は装着感も機能も天然歯と同様になります 。 |
|

欠損した奥歯をインプラントで修復すれば、強度と安定性が得られ、好きなものを何でも食べられるようになります。また顎骨も顔の外観も保たれます。
 |
|
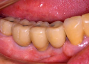
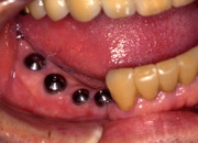
奥歯が3本欠損しています。この場合の治療法の1つとして、固定ブリッジを装着することです。 |
|
 |
|
まず、インプラントを埋入し仮のブリッジを装着します。この状態でも通常通りに生活ができます。 |
|
 |
|
顎骨と結合するのを待ち、最終的なブリッジを装着します。通常インプラント埋入から1〜2ヶ月後に行います。 |
|

すべての歯が欠損している場合や、すべての歯を歯根から入れ替える必要がある場合は、インプラントを支台とした固定ブリッジを装着することができます。
 |
|
医師が症状を診断し、今後の治療手順に必要な準備を行います。 |
|
 |
|
インプラントを埋入して、失われた歯根を修復します。同時に仮歯を装着するため、通常通りの生活ができます。 |
|
 |
|
インプラントに最終ブリッジをしっかりと装着します。装着後2〜3回の調整をして完了。 |
|

従来、無歯顎(歯の無い人)には『総入れ歯』もしくは、片顎8本〜10本のインプラントを埋入しなければならなかったのですが、ポルトガルの Dr.Paulo Malo( パウロ・マロ)によって開発された最新のインプラント治療法のオールオンフォーは4本(もしくは6本まで)のインプラントのみで歯を固定するという画期的な治療方法です。また、オールオンフォーは固定式の仮歯を治療当日に入れられるため、固定が得られれば、治療した即日に噛むことができ、普通の食事が可能です。
この治療を開発したリスボン(ポルトガル)にあるパウロ・マロの診療所のクリニカマロでは世界中からたくさんの患者さんが訪れ、毎年1,000人以上がこのオールオンフォーの治療を行なわれております。
●他のインプラント治療と比較したオールオンフォーの利点
・治療当日より噛むことができる
・インプラントの本数が少なくてすむ
・従来の治療法と比較して、費用の負担を低減できる
・治療回数・期間が極端に短い(即日で終了する)
・腫れや痛み治療時間を低減できる

CASE.1(前歯部にインプラントを埋入した症例)
・CASE.2(下顎に 4 本のインプラントを埋入した症例)
|